The Stiff Big Toe Joint (Hallux Rigidus)

The Stiff Big Toe Joint (Hallux Rigidus)

The big toe joint movement occurs typically in an up-and-down plane (dorsiflexion and plantar flexion).

The normal dorsiflexion is approximately 75 degrees, and plantar flexion is 25 degrees. When the big toe has limited movement, it is often, but not always, associated with some form of toe arthritis. This is referred to as hallux rigidus. Treatment of hallux rigidus usually has to be surgical, but the joint can be made more comfortable with an appropriate shoe modification.

Hallux limitus is a less severe form of hallux rigidus where there is loss of motion to the big toe, most often to the metatarsophalangeal (MTP) joint.

Arthritis

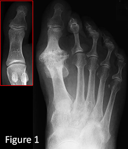
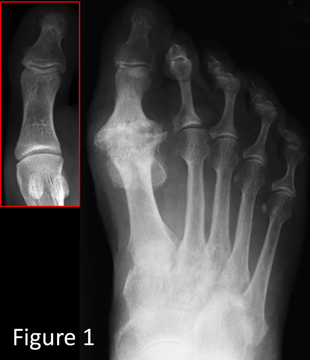
As seen on the X-ray in Figure 1, arthritis of the big toe joint is present, with significant bone spurs around the joint.

There is no cartilage, the joint space has disappeared, and bone spurring is marked around the joint. You can see that the big toe joint on the right has a large bump. This is not a bunion but arthritis (hallux rigidus).

Shoes are modified to treat pain in the big toe joint by stiffening the sole, inserting a stiff orthotic arch support, and sometimes adding a small rocker effect (called a metatarsal bar) glued onto the bottom. Thin-soled shoes and high heels aggravate this condition by placing more stress on the joint, increasing pain.

Surgical treatment

The surgical treatment for hallux rigidus is determined by the extent of the arthritis and deformity. For the minor type of hallux rigidus, shaving the bump of the bone on top of the metatarsal is sufficient (a cheilectomy).

As the stiffening of the big toe joint increases, a cheilectomy is insufficient, and an additional bone cut on the toe itself (an osteotomy of the phalanx) or an arthrodesis may be needed.

For some feet with hallux rigidus, shaving the bone on the top of the big toe (the cheilectomy) is insufficient. An additional bone cut is made to lift the toe slightly from the floor. This improves the toe's upward movement and makes it easier to wear shoes.

As the arthritis increases, the ability of an osteotomy or cheilectomy to correct the problem, maintain motion, and prevent the arthritis from worsening is minimal. For these patients, either a fusion of the big toe (an arthrodesis) or removal of bone from the joint (an arthroplasty) is performed. The big difference between a fusion and arthroplasty is the movement of the big toe.

The main advantage of a fusion is that it is a permanent correction that eliminates arthritis and pain. The disadvantage is that it restricts the movement of the big toe. After the big-toe fusion, patients can typically exercise, run, and comfortably wear most shoes afterver, wearing a heel higher than an inch and a half is difficult after

Removing a bone from the joint (a resection or interposition arthroplasty) shortens the big toe slightly but maintains some movement. This is an effective operation, particularly for individuals who would prefer to have movement of the big toe after this type of surgery. It is not, however, as reliable and predictable as a fusion in terms of recurrent problems with the big toe and push-off strength. The decision to perform a fusion or an arthroplasty of the joint is often a matter of patient and physician preference, which is made together.